部門案内 臨床検査科
土曜日・日曜日・祝日・年末年始
(12月29日〜1月3日)
部門案内
臨床検査科は、患者さんから採取された血液・尿・便・体液・組織等の測定及び検査をする「検体検査室」と、患者さんと直接に接して生体情報を得る「生理検査室」の二つに分かれています。また、中央処置室にて採血も行っています。検体検査は最新の医療機器を用いて測定しており、2005年からの電子カルテ導入に伴い、検査オーダーや報告もオンライン化され、また、夜間、日曜祭日も含めて24時間体制を取っており、日夜、迅速で正確な測定データーの報告に努めております。
臨床検査は、国家資格である臨床検査技師が全て行っており、検査結果は、病気の診断、治療、経過観察等に役立っています。
部門の特徴-検体検査-
生化学検査
血液や尿中の特定の物質の濃度を調べることにより、肝臓や腎臓、心臓などの臓器が正常に機能しているかどうか、また糖尿病や脂質異常症といった病気に罹っている可能性があるかを評価する検査です。

免疫検査
人の体は、体外から侵入してくる細菌やウイルスなどの異物に対して、体内で抵抗することで血液中に抗体がつくられ、免疫が構築されます。
異物と抗体が結合して異物を排除する働きを免疫反応といい、免疫検査ではこの免疫反応を応用し、肝炎ウイルスや梅毒などの抗原や抗体の有無や量を調べる検査です。
血液検査
血液中の赤血球数、白血球数および血小板数などの測定や血液中に存在する細胞の観察、血液の固まりやすさを見る凝固検査を行っています。これらの検査で貧血や炎症、白血病などの血液疾患を調べることが出来ます。
輸血検査
輸血検査では血液型検査、不規則抗体検査、交差適合試験、自己血管理などを行っています。
輸血とは出血や病気によって不足した血液成分を補う治療法です。患者様に適合しない血液製剤が輸血されることが無いように検査、輸血製剤管理共にシステムを用いて行っています。

一般検査
一般検査では、尿中の蛋白・糖・潜血(血が混じっているか)等の検査や顕微鏡で尿中の細胞を観察することで腎臓や膀胱の病気を調べています。また、消化管からの出血の有無を推測する便潜血検査や体腔液(胸水・腹水・髄液等)検査なども行っています。

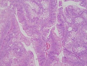
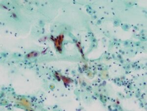
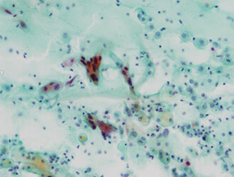
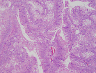
病理検査
病理検査は患者様から採取された手術検体などから、病気の診断や原因を究明することを目的とした検査です。病理検査には組織診断、細胞診断、術中迅速診断が含まれ、病理診断結果はその後の治療方針に直結する検査です。
また、不幸にして院内で亡くなられた方の病理解剖をご遺族の方の同意の下で行い、病気の広がりや死因の究明をする役割も担っています。



尿素呼気試験
尿素を含んだ検査薬を飲みその前後に採取した呼気を調べピロリ菌に感染しているかを判定する検査です。ピロリ菌の除菌判定にも使用されます。

慢性活動性EBウイルス病検査
当院ではこの度、EBウイルス感染細胞同定解析を導入いたしました。
つきましては、下記リンクより検査の目的、お申し込みの流れ、および詳細なご説明をご確認いただけますようお願い申し上げます。
部門の特徴-生理検査-
心電図検査
心臓は微量な電気信号で動いています。その電気信号を体につけた電極で測定し、波形にしたものが心電図です。不整脈や虚血性心疾患(狭心症や心筋梗塞など)、心肥大などがわります。 通常は病院で安静時に記録しますが、心電図の電極を24時間付けたままにして自宅で記録するホルター心電図検査もあります。そのほかに踏み台の上り下りや自転車を漕いだりしてもらい、運動中に現れる心電図変化をみる負荷心電図検査があります。

24時間血圧測定検査
血圧はその時々で変化しています。携帯型の血圧計を昼夜(1日中)付けて血圧の変動をみることで高血圧の診断や薬を飲む時間や量の決定、効果の判定などに使用されます。

血圧脈波検査(ABI/PWV検査)
手足の血圧を同時測定し足の血流(詰まりが具合)や血管の硬さ(動脈硬化の進行程度)を調べる検査です。
高血圧、糖尿病、脂質異常症などの生活習慣病を患っている方や健康診断の一環としても行なわれます。
肺機能検査
肺がどのくらいの量の空気を吸い込めるか、どのくらいの早さで空気を吐き出すことができるか、空気を出し入れする換気機能を調べる検査です。肺の病気や重症度の診断、手術前に呼吸状態の評価をするために測定します。

聴覚検査
耳のきこえの状態や聴力障害の性質を調べるために様々な種類の検査があります。
当院では、純音聴力・語音聴力・ティンパノメトリー・耳小骨筋反射(レフレックス)・耳音響放射検査(OAE)などを実施しています。また新生児聴脳幹性脳幹反応検査(ABR)・めまいの診断に役立つ重心動揺検査にも対応しています。

超音波(エコー)検査
超音波という音を出すプローブ(探触子)を体にあて体内の臓器や組織の状態、動きを画像で観察する検査です。被爆や、痛みもなく(圧迫感程度)妊婦、乳幼児、高齢者など様々な方が安心して多数の部位を検査することができます。
・心臓エコー(経胸壁・経食道エコー)
・血管エコー(頸動脈・下肢動静脈・腎動脈など)
・腹部エコー(消化器領域・骨盤領域)
・体表エコー(乳腺・甲状腺・唾液腺・その他表在部位)

脳波検査
脳の神経細胞は小さな電気信号によって情報を伝達しています。頭皮につけた電極でその電気活動を調べる検査です。てんかんや発作性意識障害、脳腫瘍、脳血管障害など脳の病気の診断や治療に役立ちます。

睡眠時無呼吸症候群(SAS)検査
睡眠時無呼吸症候群は日中の眠気や集中力の低下、交通事故のリスクを伴う疾患です。また心臓や血管、脳卒中などの合併症のリスクも増加します。検査によって睡眠中の呼吸状態、無呼吸の回数やパターンなどを調べることができ睡眠障害の診断、睡眠の質の診断、治療効果の評価に役立ちます。
・簡易スクリーニング検査(自宅で行なう簡易検査)
・終夜睡眠ポリグラフ検査(入院して行なう精密検査)

その他
学会認定
-
日本臨床細胞学会認定施設
-
日本病理学会病理専門医
-
日本臨床細胞学会細胞診専門医
臨床検査科は各分野の技術レベルアップのため認定資格の取得をしております。
-
日本臨床細胞学会 細胞検査士
-
国際細胞検査士
-
本臨床検査同学院 二級臨床検査士(病理学・循環生理学)
-
日本臨床検査同学院 緊急臨床検査士
-
日本臨床検査技師会 認定一般検査技師
-
日本超音波医学会認定超音波検査士(消化器・循環器・体表・泌尿器・血管・検診)
-
日本臨床検査技師会 医療安全管理者
-
日本臨床検査技師会 精度管理責任者
-
水質管理責任者
-
特定化学物質・四アルキル鉛等作業主任者
-
有機溶剤作業主任者
-
日本救急学会認定ICLS・BLSコースインストラクター